Antes e depois

Nada melhor de que ver a Dona Maria saindo com esse sorriso lindo! Reabilitação com protocolo.

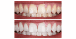
Clareamento

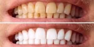
Clareamento

Mostrando 1 - 2 de 2 imagens

PRONTO PARA CUIDAR DO SEU SORRISO ?

AGENDE SUA CONSULTA